Ce sunt nodulii intracavitari uterini?Leiomioamele (cunoscute și sub denumirea de fibroame) sunt tumori benigne ale musculaturii netede cu originea în miometru (peretele uterin). Sunt tumori estrogen și progesteron dependente. Incidența raportată este de 20-25%, dar studii recente au arătat un procent mai mare (70-80%) dintre femei, utilizând criterii histologice și ultrasonografice.
Clasificare După localizarea lor și direcția de creștere fibroamele pot fi împărțite în: Subseroase (se localizează la suprafața uterului și au direcție de creștere spre exterior); Parazitice ( variante subseroase care se atașează de structuri din jur de la care primesc vascularizație); Intramurale (au creșterea centrată în pereții uterini); Submucoase ( se găsesc în apropierea mucoasei ce căptușește cavitatea uterină și au direcția de creștere spre cavitate).

Nodulii fibromatoși, chiar și cei intracavitari, pot fi asimptomatici și descoperiți cu ocazia unui consult de rutină, dar pot provoca și simptome precum sângerare abundentă atât la menstruație cât și în afara ei (sângerări neregulate), imperiozitate micțională, senzația de presiune pelviană și chiar infertilitate.
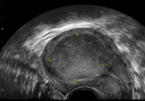
DiagnosticDiagnosticul se poate stabili cu ocazia examinării ginecologice când se poate palpa un uter mărit de volum cu contur neted, regulat în vazul nodulilor intracavitari sau prin examinări imagistice, cea mai rapid accesibilă fiind ecografia. 

Pentru a diferenția un leiomiom intracavitar de un polip endometrial poate fi folosită examinarea Doppler color unde, nodulii fibromatoși au un model vascular caracteristic- vascularizație marginală din care doar câteva vase pătrund în centrul tumorii. Tot cu ocazia examinării ecografice se poate stabili modul în care nodulii intracavitari sunt atașați la peretele uterin. Aceștia pot prezenta un pedicul subțiere de atașare sau pot avea bază largă de implantare și pot pătrunde în grosimea peretelui uterin. Nodulii intracavitari pediculați pot produce simptome precum crampe abdominale sau durere acută pe măsură ce aceștia pot descinde prin canalul cervical.
TratamentCa și metodă eficientă de tratament a nodulilor intracavitari, pediculați sau a celor care se extind mai puțin de 50% în grosimea peretelui uterin se apelează la histeroscopie. Rezecția histeroscopie a fibroamelor subseroase prezintă o eficacitate pe termen lung de 60 până la 90% în tratamentul sângerărilor abundente și neregulate și de asemenea îmbunătățește fertilitatea. |