Polipul uterin

Ce este polipul uterin?

Polipul endometrial sau uterin reprezintă o masa de țesut dezvoltată din mucoasa care căptușește interiorul cavității uterine. Polipii sunt frecvent întâlniți, cu o prevalență în populația generală de 8%.

Acesta poate avea o bază largă de implantare fiind denumit polip sesil sau poate fi atașat de uter printr-un pedicul și poartă denumirea polip pediculat. Dimensiunile acestor formațiuni variază de la câțiva milimetri până chiar la câțiva centimetri, iar în cazul polipilor pediculați există riscul ca aceștia să protruzioneze prin canalul cervical în vagin.

polipi-uterini-cluj

Polipii endometriali pot fi solitari sau multipli.

Cauza apariției polipilor endometriali e reprezentată de o hiperplazie a endometrului (dezvoltarea în exces a mucoasei uterine), această dezvoltare excesivă fiind dependentă hormonal ( estrogen și progesteron).

Simptomul cel mai frecvent întâlnit este sângerarea menstruală abundentă, dar și sângerările intermenstruale.

Vârsta medie de apariție a polipilor este în jurul vârstei de 40-50 de ani, dar pot apărea și la vârste tinere. Factorii de risc în apariția lor sunt obezitatea, hipertensiunea și istoricul de polipi cervicali în antecedente, înaintarea în vârstă, tratamentele cu tamoxifen.

La cazurile cu sângerarea anormală se estimează că incidența polipilor este de 10-30%.


Diagnostic

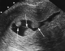
Principalele instrumente de diagnostic pentru evaluarea polipilor endometriali includ ecografia transvaginală, ecografia cu infuzie salină și histeroscopia, aceasta din urmă fiind cea care stabileste cu certitudine diagnosticul. Examinarea ecografică transvaginală poate orienta diagnosticul diferențial cu un nodul fibromatos intracavitar prin utilizarea examinării Doppler, unde în cazul polipilor se poate identifica un singur vas arterial de hrănire.

Polip intrauterin

Polip intrauterin


Cei mai multi polipi sunt benigni, iar transformările premaligne sau maligne apar în aproximativ 4-5% din cazuri. Factorii de risc pentru transformarea malignă includ: postmenopauza, vârsta peste 60 de ani, dimensiunea polipului peste 1,5 cm și tratamentele cu tamoxifen. Aceste modificări suferite de polipi fac obligatorie îndepărtarea lor și trimiterea materialului extras la examen histopatologic.


Tratament

Tratamentul lor constă în extirparea histeroscopică. Procedurile clasice de îndepărtare prin chiuretaj nu reușesc excizia bazei de implantare, polipul regenerându-se.

Polipii pot crește riscul de avort la femeile însărcinate și reprezenta o cauza frecventă de sterilitate sau infertilitate. Din acest motiv, pacientelor care urmează a fi supuse procedurilor de fertilizare in vitro, le este necesară histeroscopie diagnostică și după caz operatorie.